
Aprenda prótese sobre implante em dois dias

Máximo de 10 alunos para atenção dedicada.
Você não precisa levar nada.
Todo o conteúdo do curso e casos clínicos de cada tipo de prótese sobre implante.
Para tirar dúvidas e otimizar o seu aprendizado.
Aprenda a trabalhar com componentes de qualquer marca.
O curso de prótese sobre implante, Descomplicando a PSI, foi desenvolvido com o objetivo de facilitar o entendimento dos componentes protéticos, independente da marca, e possibilitar o planejamento e execução de casos do dia a dia.
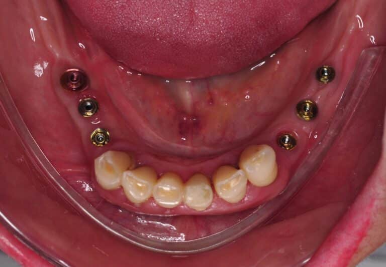
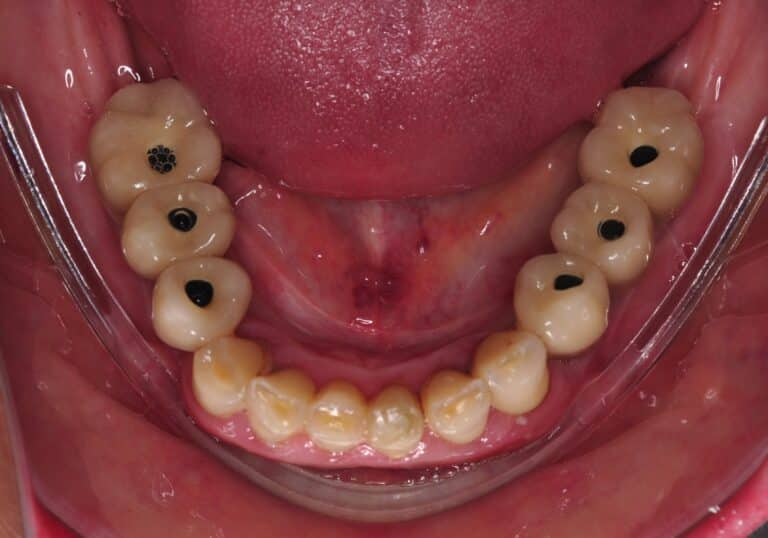
Ao concluir o curso você estará apto a efetuar reabilitações com os seguintes tipos de prótese sobre implante:

• Conexões protéticas
• Características dos componentes protéticos
(ucla / mini pilar / munhão universal)
• Kit protético
• Reabertura
• Moldagem de transferência
• Instalação das próteses e ajustes
• Coroa provisória parafusada

• Coroa unitária parafusada sobre HE
• Coroa unitária parafusada sobre CM
• Fixa de 2 elementos parafusada sobre Mini Pilar
• Coroa unitária cimentada sobre Munhão Universal

• Protocolo de resina:
– Planejamento reverso
– Confecção de guia multifuncional
– Moldagem de transferência com e sem guia
– Manutenção de protocolo
– Conserto de elemento fraturado
• Overdenture O’ring
• Overdenture Barra Clip
- Vantagens / Desvantagens
• Componentes

• Protocolo:
– Instalação de pilares retos e angulados
– Moldagem com guia multifuncional
– Moldagem sem guia multifuncional
– Instalação do protocolo
• O’ring:
– Instalação dos componentes
– Captura das cápsulas na PT
– Troca dos o’rings
• Barra Clip:
– Instalação de componentes e barra
– Captura do Clip na PT
• Teórica novamente: discutiremos sobre outros componentes e situações clínicas





• Graduado pela Universidade Santa Cecília (Unisanta) Santos / SP (2007)
• Pós-Graduado em Ortodontia pelo Núcleo de Estudos Odontológicos (NEO) Vila Mariana / SP
• Especialista em Implantodontia pela Universidade Metropolitana de Santos (Unimes) Santos / SP

Disponibilizamos todo o material de consumo, emprestamos os kits protéticos e cada aluno ganha uma apostila.
Seu investimento:
POR
R$ 3.000,00
à vista
ou 12x R$292,00

Próxima turma: